게시물 원소스: 굿스마일치과 | non ext treatment of severe crowding #blackshaqgo… | 굿스마일치과교정과치과의원
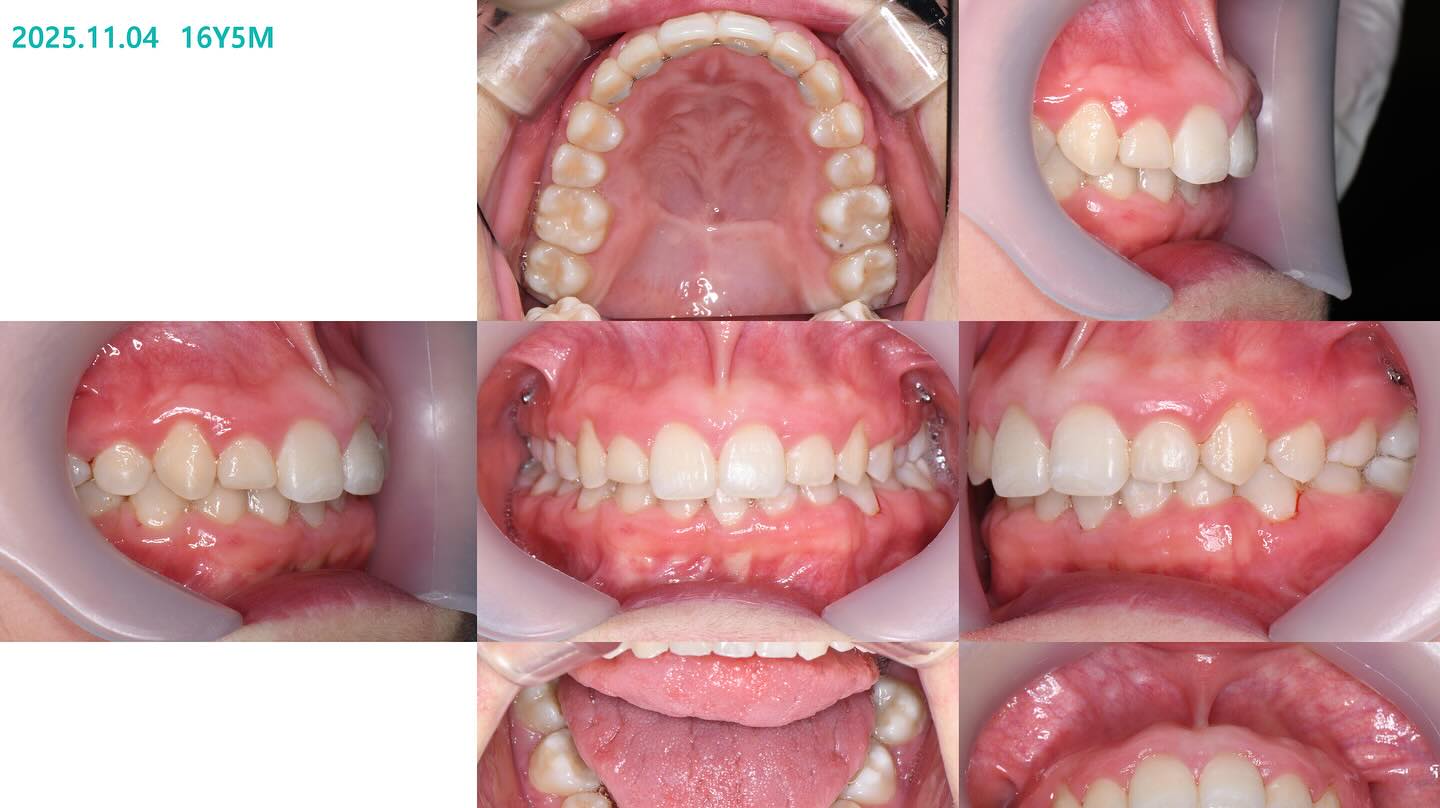
non ext treatment of severe crowding
#blackshaqgoodsmile #굿스마일치과교정과
http://instagram.com/p/DQqfakgEu4w
게시물 원소스: 굿스마일치과 | non ext treatment of severe crowding #blackshaqgo… | 굿스마일치과교정과치과의원
non ext treatment of severe crowding
#blackshaqgoodsmile #굿스마일치과교정과
http://instagram.com/p/DQqfakgEu4w