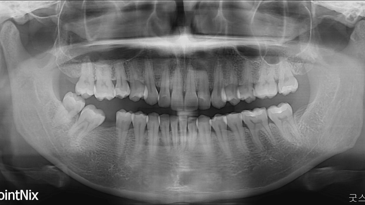
게시물 원소스: 굿스마일치과 | molar protraction non ext lip protrusion #blacksh… | 굿스마일치과교정과치과의원
molar protraction
non ext
lip protrusion
#blackshaqgoodsmile
http://instagram.com/p/DOstc6Okrjh
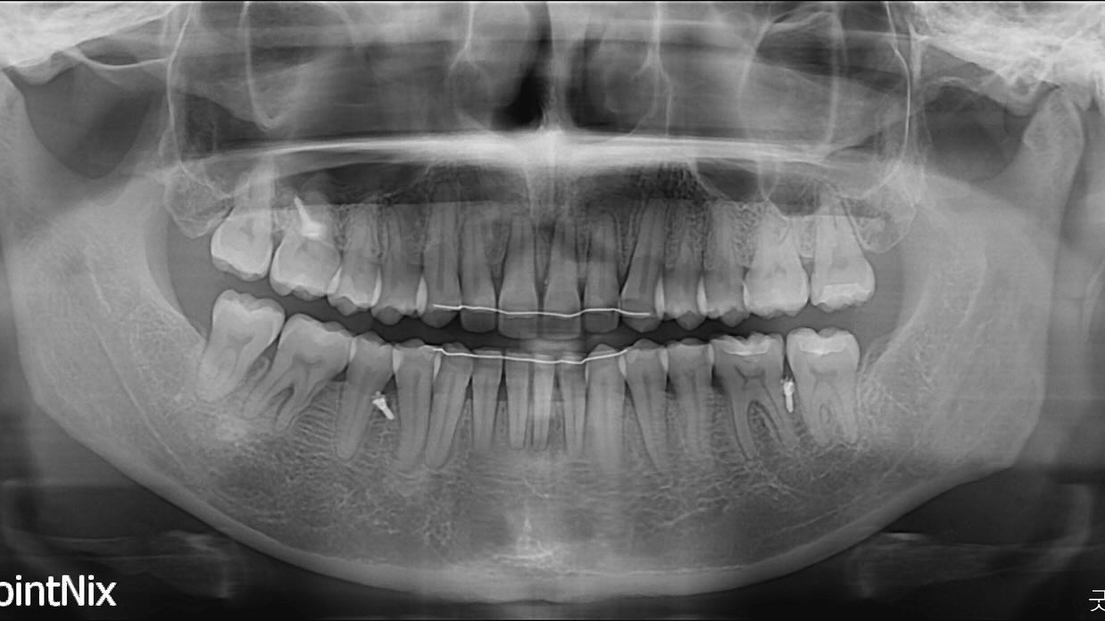
게시물 원소스: 굿스마일치과 | molar protraction non ext lip protrusion #blacksh… | 굿스마일치과교정과치과의원
molar protraction
non ext
lip protrusion
#blackshaqgoodsmile
http://instagram.com/p/DOstc6Okrjh